近年来,随着体外受精-胚胎移植技术(IVF-ET)的发展,给很多不孕患者带来了福音,但在排除年龄、生殖畸形、胚胎质量不佳及遗传缺陷等因素后,仍有一部分患者在经过多次IVF-ET后不能成功妊娠,其中与子宫内膜的质量有很大的关系。内膜就好比土壤,种子再好,如果土壤不好也很难种出好庄稼,而子宫内膜活检则是检测子宫内膜好坏的手段之一。今天,小编为大家简单介绍一下子宫活检在不孕症中的应用。
一、通过子宫内膜活检,反应卵巢功能状况。在正常月经周期中,子宫内膜的变化是在卵巢激素作用下而形成的,而卵巢的活动又受到下丘脑-腺垂体的控制。血中卵巢激素水平升高时,又可反馈地影响下丘脑-腺垂体促性腺素的分泌活动,进而保证卵巢活动及月经周期的过程。

当卵巢功能低下时,子宫内膜只有部分腺体有顶浆分泌,与血管相近的腺体分泌较好,而较远的则分泌稍差,间质不会出现蜕膜样反应,通常情况下,能正常排卵,但由于黄体功能不足或萎缩过早,患者孕激素分泌受到抑制,子宫内膜不能受到足够的刺激,分泌无法进行,导致不孕。
当卵巢功能失调时,子宫内膜形态上表现为腺体部分萎缩,腺腔缩小,无分泌或很少部分有轻度分泌,间质细胞密集,无蜕膜样改变。此类患者临床上表现为无排卵或不规则性出血。其发生机制是由于子宫内膜受到一定雌激素影响而发生增生性反应,但卵巢卵泡发育不良不排卵,持续雌激素作用下使子宫内膜进一步增殖增厚。雌激素又同时作用于垂体,抑制卵泡刺激素分泌,卵泡失去卵泡刺激素的支持而发生退化,雌激素分泌急剧减少,增生的子宫内膜失去雌激素支持而发生坏死性脱落引起子宫出血。

二、通过子宫内膜活检,反应外源性激素作用情况。不孕患者中,常常使用外源性激素进行调节,调节的好坏可以通过子宫内膜的形态反应出来。低水平的雌激素和孕激素,使子宫内膜腺体和基质发育不全;高水平的雌激素和低水平孕激素,使子宫内膜基质发育不全,甚至子宫内膜增生;高水平的孕激素和低水平雌激素,使子宫内膜腺体发育不全,如人工替代周期的患者,子宫内膜腺体表现为萎缩、分泌不良,基质则呈现出蜕膜样的类孕反应,子宫内膜组织学天数与其生理的实质天数明显对不上号。
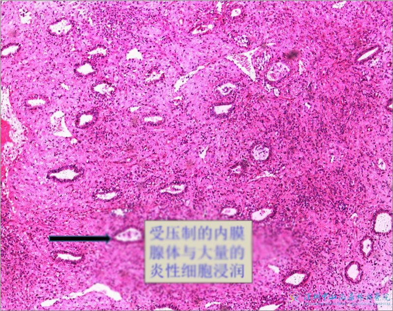
三、通过子宫内膜活检,检查是否存在子宫内膜良性非肿瘤性病变。不孕患者子宫内膜良性非肿瘤性病变常表现为:
1、子宫内膜炎:炎症刺激和病变影响破坏子宫内膜结构,一方面,引起炎症的病原体激发机体的免疫反应,产生大量致敏的活性细胞并产生多种细胞因子,这些炎性细胞通常会杀灭或吞噬精子,使卵细胞无法受精;另一方面,即使排卵受精后,由于子宫内膜充血,间质炎性细胞的浸润,纤维结缔组织和毛细血管的炎症介质渗出都不利于胚胎着床,造成不孕或流产;此外,由于子宫内膜炎往往蔓延至输卵管,引起输卵管水肿、充血,也会影响受精卵的运送过程,子宫内膜炎是导致女性不孕不育的一个非常重要的因素。

2、子宫内膜息肉:子宫内膜息肉是子宫内膜基底层带蒂突向宫腔的局限性良性增生,主要由少量致密的纤维结缔组织组成的间质与厚壁血管及子宫内膜腺体组成,临床上表现为经期过长,经量增多,不孕症,自然流产等。对于不明原因的不孕患者,子宫内膜息肉摘除手术,可改善妊娠结局,提高辅助生殖技术妊娠率。

温馨提示:引起不孕症的因素很多,子宫内膜活检也只是检查卵巢功能和子宫内膜病变的辅助手段;对于不明原因的不孕患者,可以尝试做子宫内膜活检,并根据子宫内膜变化情况,给予相应临床治疗。
温馨提示:深圳中山妇产医院(原深圳中山泌尿外科医院)是深圳最早开展试管婴儿的医院,至今已诞生近40000多名试管宝宝,是深圳市卫健委审批通过的合法开展辅助生殖技术(试管婴儿)的正规医院,做试管婴儿、人工授精请到深圳市卫健委批准的,有资质、正规辅助生殖医院。